Veneers
When you come in for your first appointment, the dentist will take some enamel from your teeth to make room for veneers. They will then take a mould of your teeth and get the exact shade of your teeth so the veneers can be customised precisely to your teeth’s requirements. The veneers will be made in a laboratory, and your dentist can then bond them to your teeth. This will be done using a special light and held for about sixty seconds to ensure they are secure.
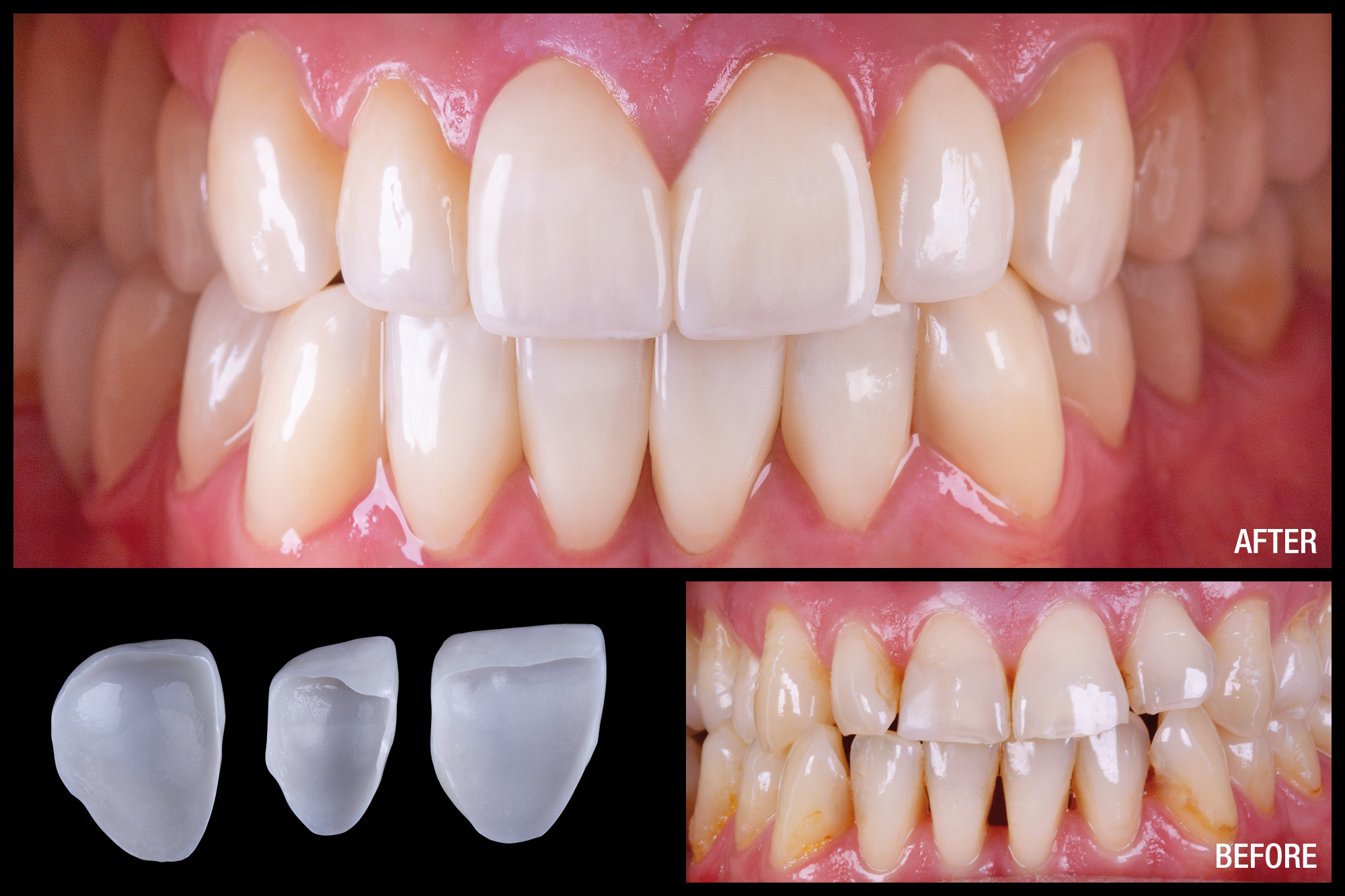
WHY SHOULD I OPT FOR PORCELAIN VENEERS?
If you’re struggling with tooth spacing, yellow teeth or crookedness, then porcelain veneers may be the answer to all your problems! A veneer is a thin white shell that’s bonded onto your teeth and will give your teeth a new appearance. We suggest porcelain veneers over composite resins, as they provide a much more aesthetically pleasing and long-lasting results. If you have unsightly chips or cracks on your teeth, we can help. Each veneer is customised for the individual and will cover them up, so they’re not visible anymore!
Some benefits of porcelain veneers include:
- Brightening your teeth.
- Improving their shape.
- Closing any gaps.
- Adjusting their length and size if needed.
- Realigning crooked teeth.
- Eliminating discolouration.
- Maintaining your natural tooth composition.
WHY ARE THEY THE BEST OPTION FOR ME?
If you’re looking for a way to improve your smile and dental health, porcelain veneers are an excellent choice. After the veneers have been fitted, you can go back to eating all your favourite foods, safe in the knowledge that they are resistant to stains! They will also help to close up any gaps between your teeth structures to help reduce the likelihood of food getting stuck, which can lead to tooth decay.
HOW DO I KNOW IF PORCELAIN VENEERS ARE SUITABLE FOR ME?
If you want porcelain veneers, your teeth should be in good shape with minimal fillings. This is because the shell needs to bond naturally to the tooth.
General oral hygiene is recommended after your treatment, ensuring you brush at least twice a day and floss daily. Pay adequate attention to where the veneer meets the gum to ensure trapped bacteria doesn’t cause plaque and cavities.

