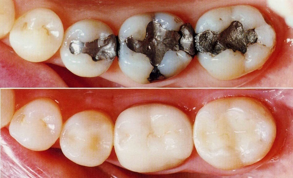
White Fillings
WHY CHOOSE A WHITE FILLING?
White fillings are a modern method of treating tooth decay and are generally preferred over traditional fillings due to their subtle look. The fillings are the same colour as the natural shade of your teeth. This makes them virtually invisible whilst also making your smile look brighter.
DO THEY HAVE ANY OTHER BENEFITS?
White fillings will not only cover up and fix the filling but also protect the surrounding tooth structure from further decay. Your dentist will seal the joins to the base of your teeth with a bonding material, which will create a solid foundation. This will massively benefit your overall dental and oral health in the long run.
DO YOU OFFER OTHER TYPES OF FILLINGS?
Before you start your treatment, your dentist will discuss your options so that you can make an informed decision. If you decide that the porcelain fillings aren’t for you, we can also provide other materials, including amalgam fillings and onlays instead. Get in touch with Guildford Smiles today to find out how we can help you fix your cavities and prevent any further tooth decay.


